女性の入れ歯・義歯の症例
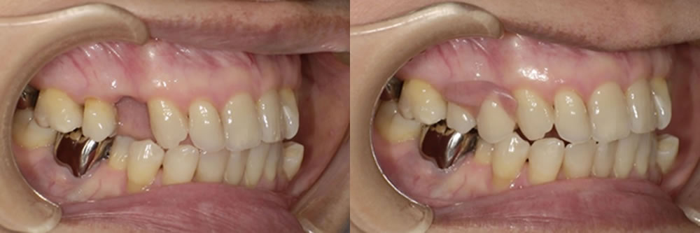
ミラクルデンチャー症例125「先生はフレンドリーで話しをよく聞いてくれました」 (60代 女性)

ミラクルデンチャー症例125(60代 女性) 入れ歯治療の解説 こちらの方は、当院が運営する「入れ歯相談サイト」をご覧になり、無料相談を通じて来院されました。右上の欠損部分をどの治療法で補うべきか検討されており、インプラ […]
ミラクルデンチャー症例124「イカ、タコ、貝類が食べられ、外れる心配が無くなりました」 (60代 女性)

ミラクルデンチャー症例124(60代 女性) 入れ歯治療の解説 こちらの患者様は、インターネットで「入れ歯専門歯科医院」と検索された際に当院を見つけられました。初めての来院時には無料相談をご利用になり、治療方針や歯が悪く […]
ミラクルデンチャー症例123「ホームページに症例が沢山載っていて安心できました」 (40代 女性)

ミラクルデンチャー症例123(40代 女性) 入れ歯治療の解説 こちらの患者さんは、当院のホームページに多くの症例が掲載されていることを見て、「ここなら安心できる」と感じて来院を決意されました。また、1日1組限定の無料相 […]
ミラクルデンチャー症例122「ゆっくりと話を聞いてくれたのがとても良かった、食事も楽しくなりました」 (50代 女性)

ミラクルデンチャー症例122(50代 女性) 入れ歯治療の解説 こちらの患者さんは、当院が監修する「女性向け」入れ歯情報サイトをご覧になり、「無料相談をしていただけること」が決め手となって勇気を出してお電話され、来院され […]
ミラクルデンチャー症例121「笑っても気づかれなく見た目が良くなりました」(40代 女性)

ミラクルデンチャー症例121(40代 女性) 入れ歯治療の解説 こちらの方は、当院が監修する女性のための入れ歯専門サイトをご覧になり、無料相談に来院されました。入れ歯に対する不安や疑問をお持ちであったため、まずはじっくり […]
ミラクルデンチャー症例120「何よりも見た目が自然で嬉しいです」(60代 女性)

ミラクルデンチャー症例120(60代 女性) 入れ歯治療の解説 こちらの方は、よしはら歯科クリニックが運営する、女性のための入れ歯サイトをご覧になり、無料相談を利用され来院されました。これまでにいくつかの歯医者さんを探さ […]
ミラクルデンチャー症例119「つけていてもほとんど気にならない」(60代 女性)

ミラクルデンチャー症例119(60代 女性) 入れ歯治療の解説 こちらの方は60代の女性患者様です。よしはら歯科の監修する女性の入れ歯サイトをご覧になり、昼休みの無料相談で来院されました。 相談では、コンフォートデンチャ […]
ミラクルデンチャー症例118「発音が気にならなくなり、前歯で噛み切れるようになりました」(60代 女性)

ミラクルデンチャー症例118(60代 女性) 入れ歯治療の解説 今回ご紹介するのは、60代の女性患者様です。よしはら歯科の監修する女性の入れ歯サイトをご覧になり、昼休みの無料相談を利用されました。当院では、初めての方に対 […]
ミラクルデンチャー症例117「入れ歯がスウーっと簡単に装着できて驚きました」(70代 女性)

ミラクルデンチャー症例117(70代 女性) 入れ歯治療の解説 こちらの方は、北浦和で入れ歯が得意な良い歯医者さんがないかとホームページで検索されて当院を見つけられました。いきなり治療ではなく、無料相談があると伺い申込ん […]
ミラクルデンチャー症例116「毎日悩み、何度も調べたり、問合せたり、セカンドオピニオンも利用した上でここに辿り着きました」(50代 女性)

ミラクルデンチャー症例116(50代 女性) 入れ歯治療の解説 こちらの方は、よしはら歯科クリニック監修の入れ歯専用サイトをご覧になり、無料相談にお越しになりました。20年ほど前に、かかりつけの歯医者さんでブリッジ治療を […]



