ミラクルデンチャー症例125「先生はフレンドリーで話しをよく聞いてくれました」 (60代 女性)
ミラクルデンチャー症例125(60代 女性)
入れ歯治療の解説
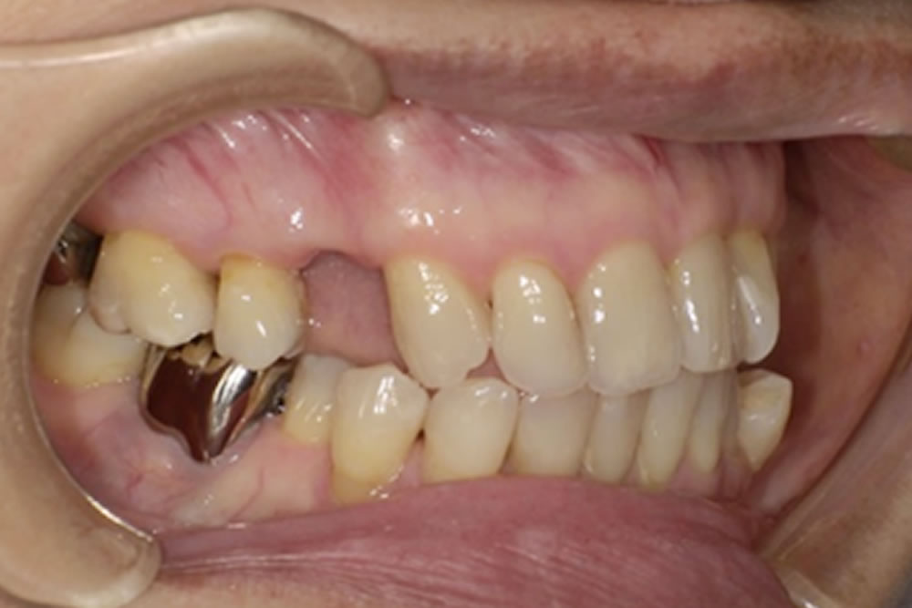
こちらの方は、当院が運営する「入れ歯相談サイト」をご覧になり、無料相談を通じて来院されました。右上の欠損部分をどの治療法で補うべきか検討されており、インプラント・ブリッジ・入れ歯の3種類の治療法について、それぞれの特徴やメリット・デメリットを知りたいというご希望がありました。
まず、インプラント治療については、天然歯に近い噛み心地が得られ、隣の歯を削る必要がないなど大きな利点がある一方で、外科手術が必要になることや治療期間が長い点が懸念となり、今回の選択肢から外れました。
次にブリッジ治療も検討されましたが、欠損部の両隣の歯を大きく削って土台にする必要があります。今回の症例では犬歯が支台歯となるため、横方向の力が強く加わり歯根に大きな負担がかかること、また支台となった歯の寿命を縮める可能性があることから、長期的なリスクを十分に説明し、慎重に検討しました。固定式で違和感が少ないという利点はあるものの、清掃が難しく、支台にした歯の状態が悪化すればブリッジ全体の作り直しが必要になる点など、将来的な負担を考えると適応は慎重になる必要がありました。
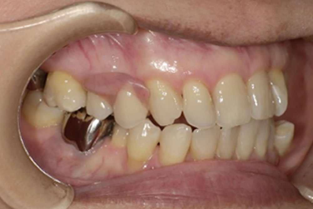
これらの点を踏まえ、最終的に選ばれたのがミラクルデンチャーでした。外科的処置を伴わず、歯を削ることもなく欠損部を補えること、そして審美性が高いこと、清掃がしやすいことなどが主な理由です。ミラクルデンチャーは特殊な「キーとロック」に似た構造によって高い維持力を発揮するため、最初は取り外しに少しコツが必要ですが、慣れると外れにくく快適に使用できるという特徴があります。
義歯の設計では、口腔内の形態に合わせて、床の前方を小さく・後方を大きめにするなど細かな工夫を行い、装着時の違和感が少しでも軽減されるよう調整しました。
欠損をどの治療方法で補うかは、患者様のお口の状態や生活背景、治療への希望によって大きく変わります。今回のケースでは、「歯を削りたくない」「外科手術は避けたい」「見た目を自然にしたい」というご希望に最も合ったのがミラクルデンチャーでした。今後も快適にお使いいただけるよう、定期的なメンテナンスを通じてサポートしてまいります。
外れにくく快適に使用できるミラクルデンチャーページはこちら>>
製作したミラクルデンチャー
治療の概要
| 治療費用 | ミラクルデンチャー フィット3 右上4 220,000円(税込) |
|---|---|
| 治療期間 | 上顎義歯 2ヵ月(4回) |
| 想定されるリスク | 初期の違和感、使用方法によっては外れる可能性があります |










