ミラクルデンチャー症例127「目立たない見た目の入れ歯で満足です」 (50代 女性)
ミラクルデンチャー症例127(50代 女性)
ご来院のきっかけ
こちらの患者様は、当院が運営する女性専門の入れ歯サイトをご覧になり、「一度相談だけでもしてみよう」と思われたことがきっかけでご来院されました。
これまで使用されていた入れ歯が合わず、日常生活の中で不便さやストレスを感じておられたものの、「どこに相談すればよいか分からない」「本当に良くなるのか不安」といった思いから、なかなか一歩を踏み出せずにいらっしゃいました。
そのような中で、“無料相談がある”ことが背中を押し、「まずは話だけでも聞いてみよう」と来院を決意されました。
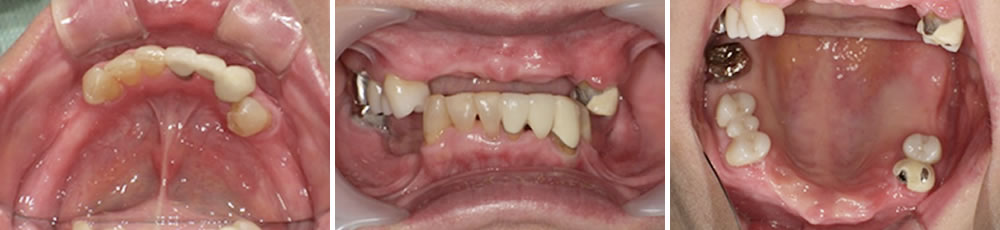
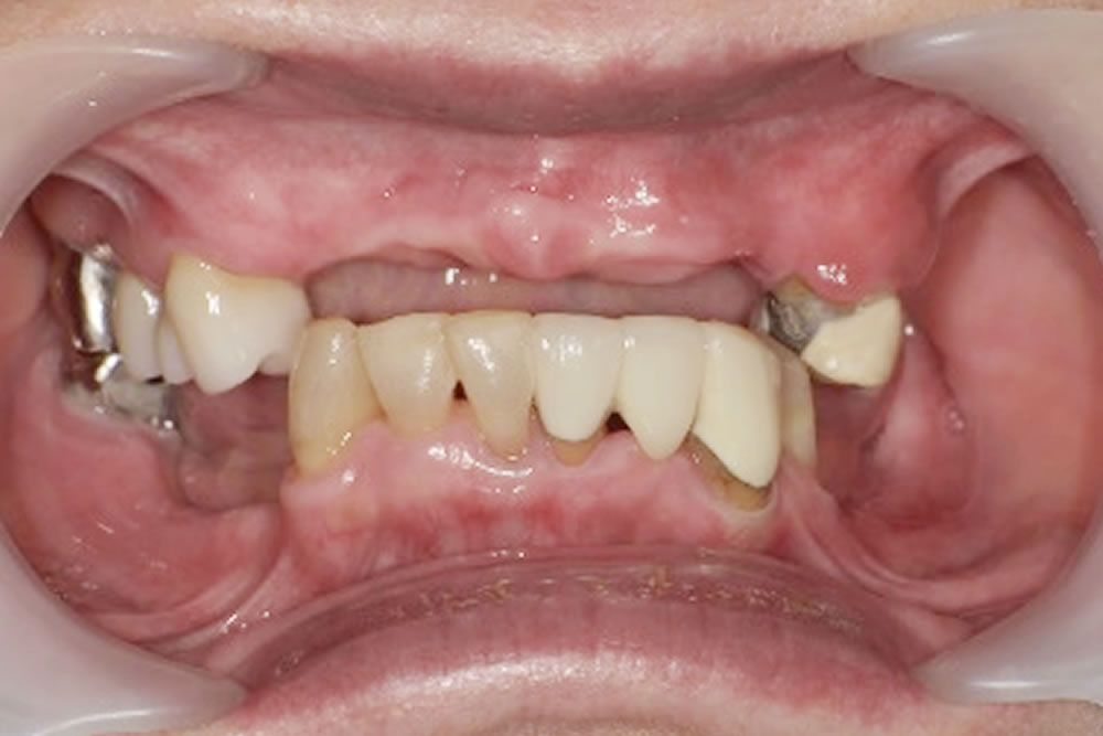
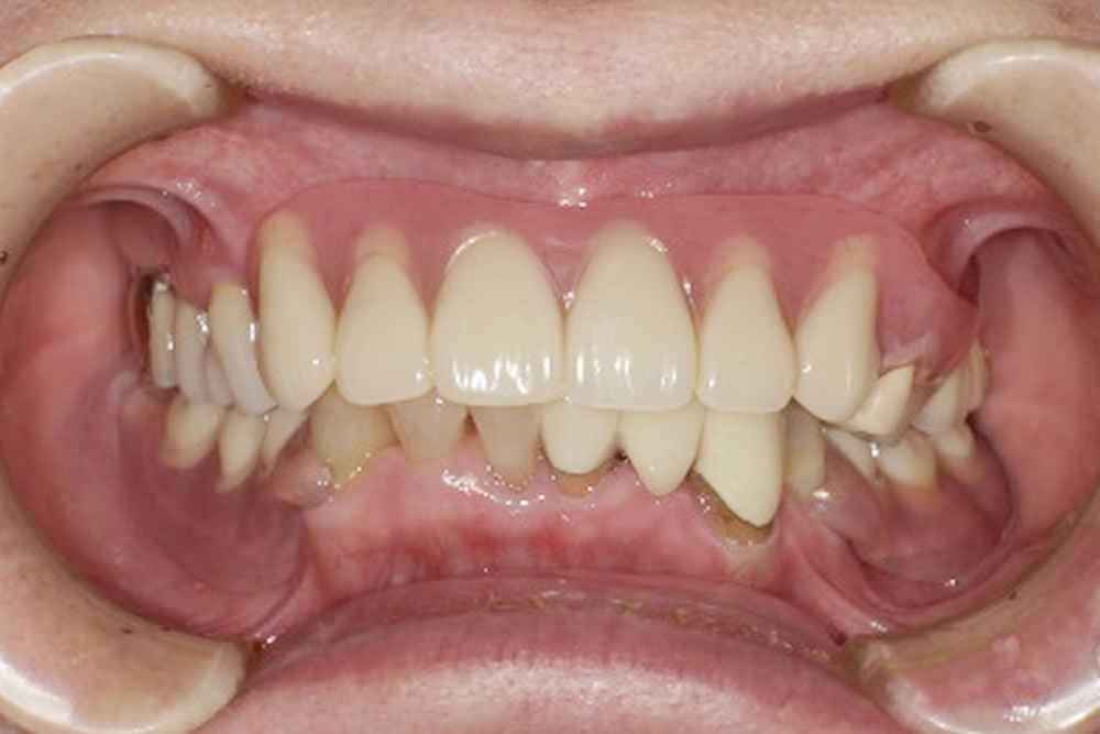
初診時の状態
現在の入れ歯が合っておらず、噛みにくさや違和感にお悩みでした。
また、「できるだけ目立たない自然な見た目にしたい」というご希望があり、機能面だけでなく審美面も重視されていました。
無料相談
相談は昼休みの時間帯に行い、他の患者様がいない静かな環境でゆっくりとお話しいただきました。
周囲を気にせず落ち着いて相談できたことで、これまで抱えていた不安や疑問を一つひとつ整理することができ、「安心して話ができた」と感じていただけました。
診断・治療方針
インプラント治療も検討されましたが、
- 外科手術への不安
- 費用や治療期間の負担
を踏まえ、「入れ歯で良いものができるのであれば」というお気持ちから、入れ歯治療を選択されました。
ミラクルデンチャーのメリット・デメリットを丁寧にご説明し、多くの症例写真をご覧いただいたことで、納得して治療を開始されました
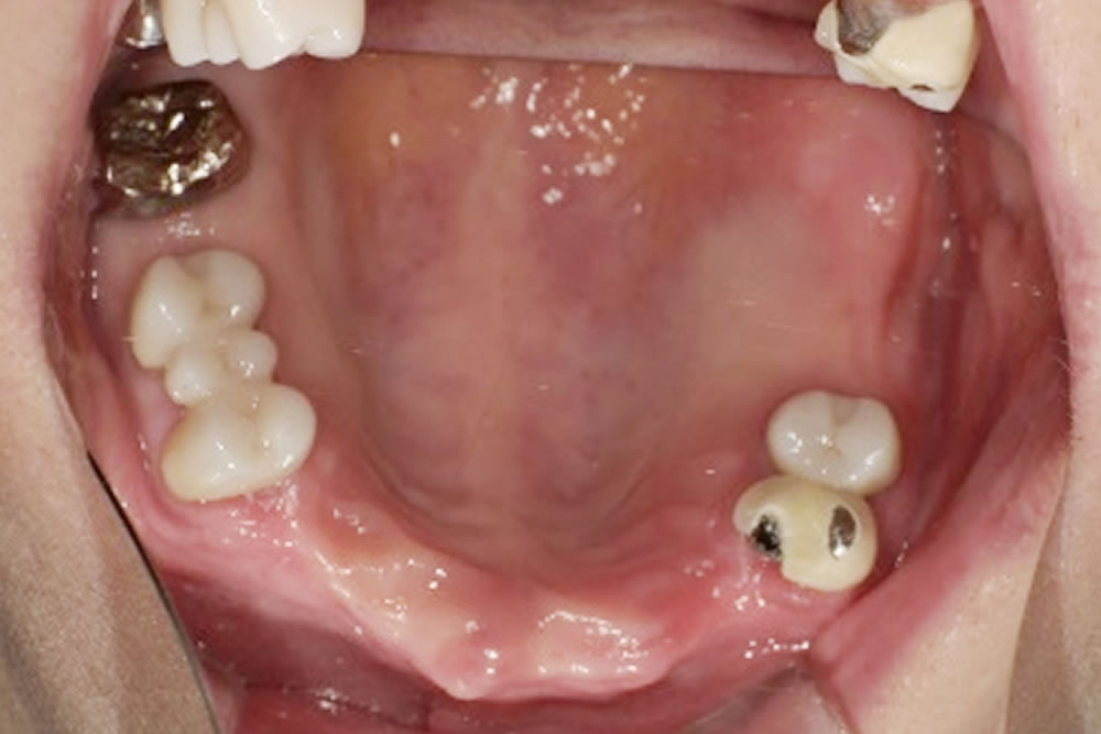
治療内容と選択理由
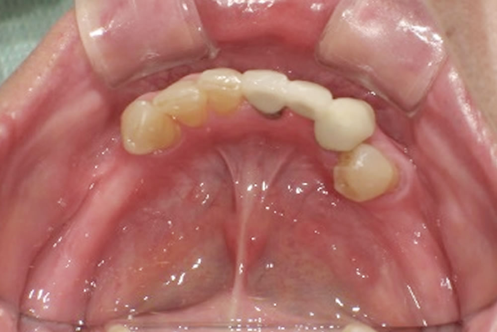
精密な型取りと噛み合わせの調整を行いながら、ミラクルフィット5を製作しました。見た目の自然さと装着時の安定性を重視し、段階的に調整を重ねて完成に至りました。
今回は、欠損部の歯周病や骨の状態、嚙み合わせの状態は比較的安定していたため、通常ですと借義歯を先に製作し、その他の部位の治療や咬合治療を行う工程があるのですが、今回は最終義歯の製作から入ることができ、治療期間も短縮することができました。
美しさと安定性を兼ね備えたミラクルデンチャーページはこちら>>
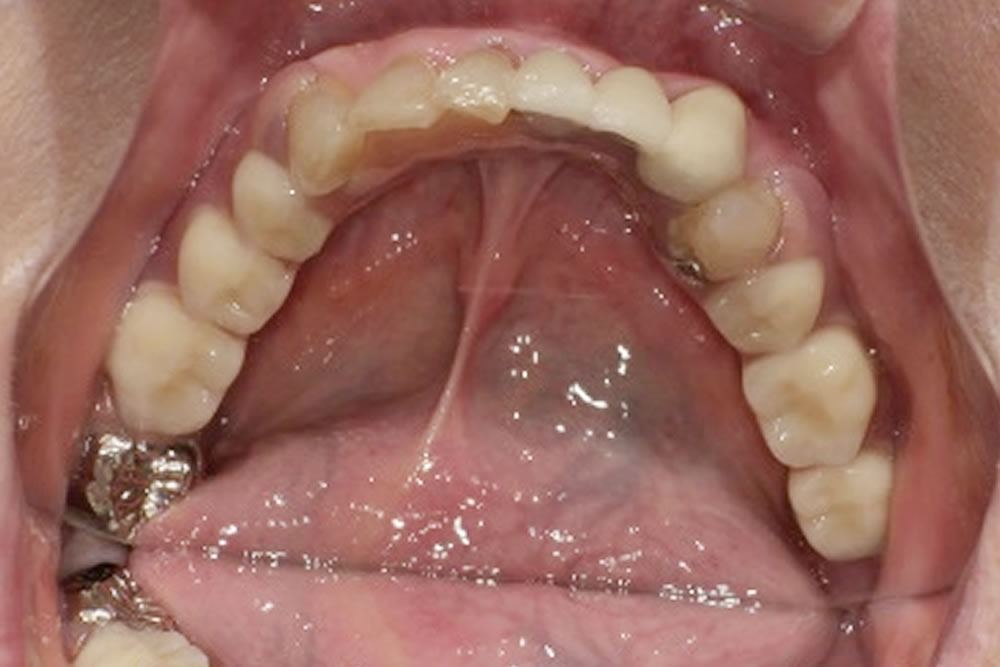
治療後の変化
製作したミラクルデンチャー
担当医より
入れ歯のお悺みは、「相談するまでに時間がかかる」方が多いのが特徴です。当院では、無料相談の機会を設け、静かな環境でじっくりお話を伺うことを大切にしています。
「まだ迷っている段階」でも問題ありません。一歩踏み出すきっかけとして、ぜひお気軽にご相談ください。
治療の概要
| 治療費用 | ミラクルデンチャー フィットV (右上1236/左上12367・右下456/左下567) 1,320,000円(税込) |
|---|---|
| 治療期間 | 3ヵ月(10回) |
| 想定されるリスク | ・装着当初は違和感を覚えることがあります。 ・使用状況や顎の状態により、定期的な調整が必要になる場合があります |















